联系我们

  • 地址:上海市延长中路399号
  • 电话:021-66313680
  • 邮编:200072
  • 邮箱:kouqiang399@126.com

华咏梅

:研究生同等学历

:主任医师、硕士生导师

:擅长牙颌畸形早期矫治、综合性矫治及成人牙周病的正畸治疗,汲取国外最先进的矫治技术,对矫治效果精益求精,力求达到美观、功能与稳定的完美结合。

:周一上午(专家门诊)

:国际牙医师学院院士;中华口腔医学会理事,口腔正畸专业委员会常委;上海口腔医学会常务理事,口腔正畸专业委员会副主任委员;《中华现代儿科学》常务编委,《中华口腔正畸学》、中国医学论坛报《今日口腔》、《口腔医学》和《广东牙病防治》编委

:2003年美国哈佛大学牙医学院访问学习。

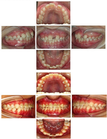
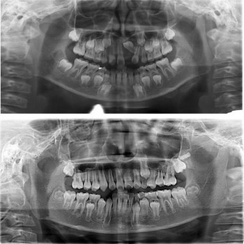
病例展示一:                    

早期矫治前后面像对照:


 

固定矫治前后面像对照:
 



 

早期矫治前后合像对照:



 

固定矫治前后合像对照:
 



 

矫治前后全景片对照:
 



 

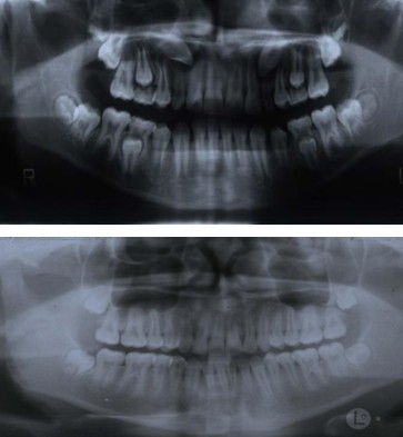
病例展示二:


 

 功能矫治前中后面像对照:


 

不同阶段面型对比:
 


 

功能矫治前中后合像对照:

     



 

功能矫治前后全景片对照: