联系我们

  • 地址:上海市延长中路399号
  • 电话:021-66313680
  • 邮编:200072
  • 邮箱:kouqiang399@126.com

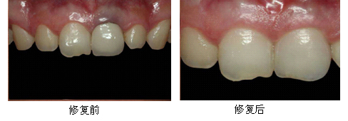
刘伟才

:口腔医学博士

:主任医师,博士研究生导师

:缺失牙固定、活动修复、种植修复,牙科美容修复

:周二上午(专家)

:中华口腔医学会口腔修复学专业委员会委员,颞下颌关节病与牙合学专业委员会青年委员;上海口腔医学会理事,口腔材料专业委员会副主任委员;国家卫计生委全国高等院校研究生口腔医学专业 “十二五”规划教材《固定义齿修复学》编委。