

“饭后一支烟,赛过活神仙”、“槟榔加烟,法力无边”、“有烟无果,难成正果”这些都是老百姓耳熟能详的俗语,虽然吸烟有害众所周知,但是吸烟对口腔的危害,大家又知道多少呢?下面就与小编一起看看:
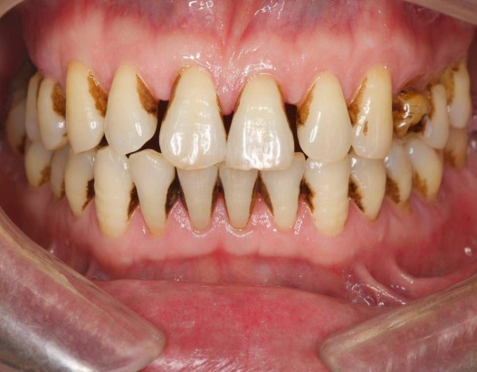
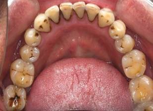
1.牙齿的着色:
吸烟时会使大量的烟渍留在牙齿表面,从而形成色素的沉淀,久而久之,就会出现大家所说的“烟渍牙”、“烟屎牙”。“烟渍牙”、“烟屎牙”不仅仅影响美观,还会给社交造成很大的困扰,从而造成心理上的各种疾病。虽然通过“洗牙”可以去除大部分的烟斑,但是如果没有戒烟,烟斑很快又会卷土重来。


2.口臭:
长期吸烟后,会使口腔内的唾液分泌量减少,从而使唾液无法正常冲刷食物残渣等。长期以往,随着口腔内细菌的繁殖增加,最终形成口臭,令自身痛苦,使身边人不敢靠近。

3.牙周病:
一旦开始有口臭了,那说明离牙周病也就不远了。吸烟是评估个体牙周炎危险因素的重要指标,即使是轻度吸烟(每天少于10支),发生严重牙周炎的概率仍是正常人两倍多,吸烟也会造成唾液的分泌量减少,牙结石的形成变多,同时也会使口腔内的牙周血管萎缩,无法给牙龈及牙槽骨提供养分和支持,最后导致牙齿的松动。吸烟还会伤害人体免疫功能,也会让一些细菌更容易生长,从而进一步加快牙周炎的发展,到了这一步,就需要尽早进行专业的牙周治疗,不然牙齿就有脱落的风险。此外,有学者观察到86%-90%的难治性牙周炎患者是吸烟者,因此在治疗牙周的过程中也应该戒烟,不然会影响治疗效果。
4.口腔白斑:
口腔白斑是发生在口腔黏膜上擦不掉的白色或灰白色斑块,白斑癌变的可能性已被医生所公认,以中老年男性多见。其主要诱因是吸烟。一项普查资料发现,吸烟者白斑患病率为31.5%,而不吸烟者仅为3.3%;且有些白斑在戒烟后可自行消退或减轻。研究人员发现,白斑的发病率与吸烟时间的长短和吸烟量呈正比。「1」如发现口腔中有疑似白班,应尽快前往口腔医院检查诊断,以免“日久生癌”。
5.口腔癌:
口腔癌患者大都有长期吸烟和饮酒史。那应如何预防口腔癌?首先,合理规律的生活作息,戒烟戒酒,保持营养均衡,注意口腔卫生,不食过烫和刺激类食物,避免精神过度紧张或抑郁,及时处理癌前病变,消除致癌因素。
6.其他危害:
吸烟会造成患龋齿的风险增加;影响口内伤口的愈合;降低种植牙的成功率及增加胎儿致畸的概率。
我们建议
1.任何年龄戒烟都会获益,戒烟越早越好——积极倡导“无烟家庭”。
2.定期口腔检查,早发现早治疗。
3.每半年至一年定期“洗牙”,保持口腔卫生。
4.一旦检查发现有刷牙出血、牙龈肿痛、牙齿松动等牙周问题,及时治疗。
5.合理饮食,作息规律,保持身心健康
Ø 参考文献
[1]刘文斌.吸烟与口腔疾病[J].保健医苑,2006(8):12 ~13.
本期主讲人:王巳思
插画:陈梅、陈昱
编辑:陈润元
校审:鲁嘉韦
